Skip links
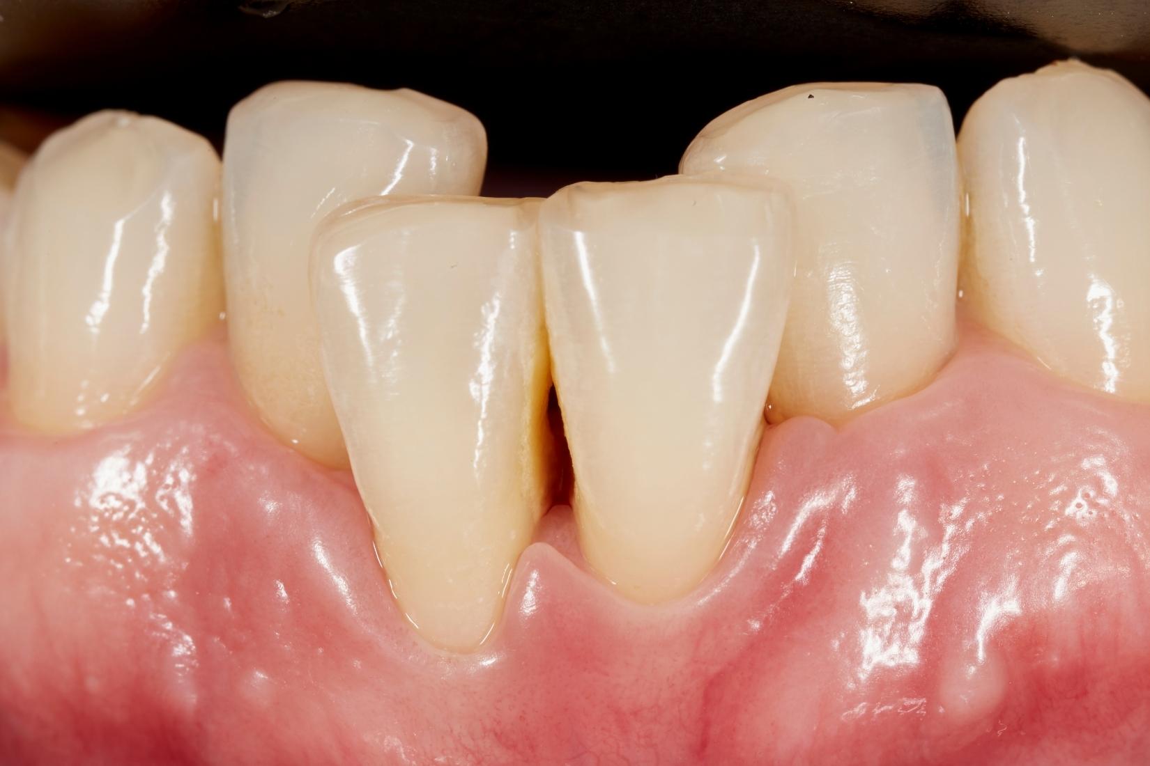
Diş çapraşıklığının oluşum nedenlerini ve çene–diş uyumsuzluğunu gösteren bilgilendirici görsel.

Diş Çapraşıklığı Neden Oluşur?

Diş çapraşıklığı, bireylerin ağız ve diş sağlığıyla ilgili en sık karşılaştığı durumlardan biridir. Dişlerin ideal diziliminden saparak üst üste binmesi, dönmesi veya olması gereken konumdan farklı bir yerde yer alması şeklinde tanımlanabilir. Toplumda yaygın olarak estetik bir sorun olarak algılansa da diş çapraşıklığı, diş hekimliği literatüründe fonksiyonel ve hijyenle ilişkili bir durum olarak da ele alınmaktadır.

Diş Çapraşıklığı Nedir?

Diş çapraşıklığı, dişlerin çene kemiği üzerindeki ideal konumlarında yer alamaması durumudur. Bu durum:

  • Dişlerin üst üste binmesi

  • Dişlerin dönerek sürmesi

  • Dişlerin öne, arkaya veya yana kayması

  • Dişler arasında dengesiz boşluklar oluşması

şeklinde görülebilir.

Diş çapraşıklığı tek bir dişte görülebileceği gibi, birden fazla dişi kapsayan yaygın bir durum da olabilir.

Sağlıklı Diş Dizilimi Nasıldır?

Sağlıklı bir diş diziliminde:

  • Dişler çene kemiği üzerinde dengeli şekilde yer alır

  • Üst ve alt dişler uyumlu bir kapanış ilişkisine sahiptir

  • Dişler arasında temizlik yapılabilecek yeterli alan bulunur

  • Çiğneme ve konuşma fonksiyonları rahatlıkla yerine getirilebilir

Bu dengeli yapı bozulduğunda diş çapraşıklığı ortaya çıkabilir.

Diş Çapraşıklığı Neden Oluşur?

Diş çapraşıklığı tek bir nedene bağlı değildir. Çoğu zaman genetik, gelişimsel ve çevresel faktörler birlikte rol oynar.

1. Genetik Faktörler

Diş çapraşıklığının en önemli nedenlerinden biri genetik yatkınlıktır. Aile bireylerinde:

  • Dar çene yapısı

  • Büyük diş boyutları

  • Çene–diş uyumsuzluğu

bulunması, bireyde de benzer bir dizilim bozukluğunun görülme olasılığını artırabilir.

Genetik olarak küçük çeneye sahip olup büyük dişlere sahip bireylerde, dişlerin düzgün sıralanması için yeterli alan olmayabilir.

2. Çene ve Diş Boyutu Uyumsuzluğu

Diş çapraşıklığının temel nedenlerinden biri, çene kemiği ile dişlerin boyutları arasındaki uyumsuzluktur.

Bu durumlarda:

  • Çene kemiği dişler için dar kalabilir

  • Dişler sürerken kendilerine yer bulamayabilir

  • Dişler üst üste binerek veya dönerek sürer

Bu uyumsuzluk, çapraşıklığın en sık görülen nedenleri arasındadır.

3. Süt Dişlerinin Erken veya Geç Kaybı

Çocukluk döneminde süt dişlerinin zamanından önce veya geç kaybedilmesi, diş çapraşıklığına zemin hazırlayabilir.

  • Erken kayıp: Diş boşluğu korunmadığında, komşu dişler bu boşluğa kayabilir.

  • Geç kayıp: Alttan gelen kalıcı diş, sürmek için yeterli alan bulamayabilir.

Her iki durumda da dişlerin sürme düzeni bozulabilir.

4. Çocukluk Dönemi Ağız Alışkanlıkları

Bazı ağız alışkanlıkları, çene gelişimini ve diş dizilimini olumsuz etkileyebilir.

Bu alışkanlıklar arasında:

  • Parmak emme

  • Uzun süreli emzik veya biberon kullanımı

  • Ağızdan nefes alma

  • Dil itimi

yer alır. Bu alışkanlıklar çene kemiklerinin gelişim yönünü değiştirebilir ve dişlerin yanlış konumlanmasına neden olabilir.

5. Ağızdan Nefes Alma

Ağızdan nefes alma alışkanlığı, özellikle çocukluk döneminde çene ve yüz gelişimini etkileyebilir.

Bu durum:

  • Üst çenenin dar gelişmesine

  • Dişlerin sıkışık sürmesine

  • Ön dişlerin konumunun değişmesine

zemin hazırlayabilir.

6. Diş Sürme Sırasındaki Problemler

Kalıcı dişlerin sürme sırasında karşılaştığı engeller de çapraşıklığa neden olabilir.

Örneğin:

  • Gömülü veya yarı gömülü dişler

  • Dişlerin yanlış yönde sürmesi

  • Komşu dişlerin alanı kaplaması

dişlerin ideal dizilimden sapmasına yol açabilir.

7. Çene Gelişimi Bozuklukları

Üst ve alt çenenin birbiriyle uyumsuz gelişmesi, diş çapraşıklığını doğrudan etkileyebilir.

  • Alt çenenin önde veya geride olması

  • Üst çenenin dar gelişmesi

  • Çene asimetrileri

dişlerin düzgün sıralanmasını zorlaştırabilir.

8. Diş Sayısındaki Anormallikler

Diş sayısının normalden fazla veya az olması da çapraşıklığa neden olabilir.

  • Fazladan dişlerin varlığı

  • Doğuştan bazı dişlerin eksik olması

diş dizilimini ve kapanış ilişkisini bozabilir.

9. Travmalar

Çene bölgesine alınan darbeler, dişlerin yer değiştirmesine veya sürme yönünün değişmesine neden olabilir. Bu durum özellikle gelişim döneminde meydana geldiğinde çapraşıklık riski artabilir.

10. Yirmi Yaş Dişlerinin Etkisi

Yirmi yaş dişlerinin sürme süreci, bazı bireylerde diş dizilimi üzerinde baskı oluşturabilir. Bu baskı, ön dişlerde sıkışıklık hissiyle ilişkilendirilebilir. Ancak bu durum kişiden kişiye farklılık gösterebilir.

Diş Çapraşıklığı Hangi Dönemde Ortaya Çıkar?

Diş çapraşıklığı:

  • Çocukluk döneminde

  • Ergenlik döneminde

  • Yetişkinlikte

ortaya çıkabilir. Çocukluk döneminde fark edilen çapraşıklıklar genellikle diş sürme süreciyle ilişkilidir. Yetişkinlikte görülen çapraşıklıklar ise dişlerin zamanla yer değiştirmesiyle oluşabilir.

Diş Çapraşıklığının Ağız Sağlığı Üzerindeki Etkileri

Diş çapraşıklığı yalnızca estetik bir durum değildir. Ağız sağlığı açısından da çeşitli etkileri olabilir.

1. Ağız Hijyeninin Zorlaşması

Çapraşık dişler arasında plak birikimi daha kolay olabilir.

2. Diş Eti Sorunları

Plak birikimi diş eti hassasiyetine ve kanamaya zemin hazırlayabilir.

3. Çiğneme Fonksiyonunun Etkilenmesi

Dişlerin kapanış ilişkisi bozulduğunda çiğneme dengesi etkilenebilir.

4. Konuşma Üzerindeki Etkiler

Bazı seslerin çıkarılması zorlaşabilir.

Çocuklarda Diş Çapraşıklığının Erken Belirtileri

Ebeveynlerin dikkat edebileceği bazı erken işaretler şunlardır:

  • Dişlerin üst üste binmesi

  • Dişler arasında dengesiz boşluklar

  • Çene kapanışında uyumsuzluk

  • Ağızdan nefes alma

Bu belirtiler erken fark edildiğinde takip edilmesi önemlidir.

Diş Çapraşıklığı Önlenebilir mi?

Diş çapraşıklığının her zaman tamamen önlenmesi mümkün olmayabilir. Ancak:

  • Ağız alışkanlıklarının erken fark edilmesi

  • Süt dişlerinin korunması

  • Ağız hijyenine özen gösterilmesi

gibi yaklaşımlar, çapraşıklığın şiddetini azaltmada rol oynayabilir.

Diş Çapraşıklığı ve Genel Sağlık

Diş dizilimi, ağız sağlığıyla birlikte genel sağlık üzerinde de dolaylı etkilere sahip olabilir. Ağız hijyeninin zorlaşması, uzun vadede diş ve diş eti sağlığını etkileyebilir.

Diş çapraşıklığı; genetik faktörler, çene–diş uyumsuzluğu, çocukluk dönemi alışkanlıkları, diş sürme problemleri ve çevresel etkenlerin bir araya gelmesiyle ortaya çıkan çok faktörlü bir durumdur. Erken dönemde fark edilen dizilim bozuklukları, ağız sağlığının korunması açısından önemli bir göstergedir.

Diş çapraşıklığının nedenlerini anlamak, ağız ve diş sağlığına bütüncül bir bakış açısıyla yaklaşılmasına katkı sağlar.

Leave a comment

Explore
Drag