Skip links
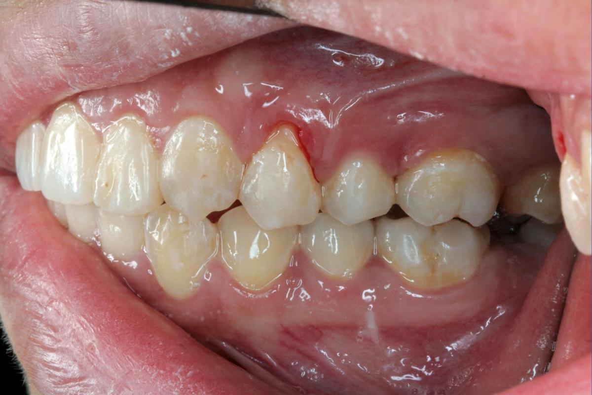
Diş eti kanamasına yol açan faktörleri ve ağız hijyeniyle ilişkisini gösteren bilgilendirici görsel.

Diş Eti Kanaması Neden Olur?

Diş eti kanaması, ağız ve diş sağlığı alanında en sık karşılaşılan belirtilerden biridir. Çoğu birey için diş fırçalarken veya diş ipi kullanırken fark edilen bu durum, zaman zaman geçici bir hassasiyet olarak algılansa da diş hekimliği literatürü diş eti kanamasının ağız içi dokuların verdiği önemli bir uyarı olabileceğini göstermektedir. Kanama, diş eti dokusunun sağlıklı yapısının bozulduğuna veya çevresel etkenlere karşı hassasiyet geliştirdiğine işaret edebilir.

Diş Eti Kanaması Nedir?

Diş eti kanaması, diş etlerinin mekanik bir uyarı (fırçalama, diş ipi kullanımı gibi) sırasında veya bazen kendiliğinden kanaması durumudur. Sağlıklı diş etleri normal şartlarda kanamaz. Bu nedenle kanama, diş eti dokusunda bir hassasiyet veya inflamatuar sürecin varlığına işaret edebilir.

Diş eti kanaması:

  • Hafif ve kısa süreli olabilir

  • Düzenli olarak tekrarlayabilir

  • Lokal ya da yaygın şekilde görülebilir

Kanamanın sıklığı ve şiddeti, altta yatan nedenlere bağlı olarak değişkenlik gösterebilir.

Sağlıklı Diş Eti Nasıl Olmalıdır?

Diş eti kanamasını anlamak için öncelikle sağlıklı diş etinin özelliklerini bilmek önemlidir. Sağlıklı diş etleri:

  • Açık pembe renktedir

  • Sıkı ve elastik yapıdadır

  • Diş yüzeyine uyumludur

  • Fırçalama sırasında kanama göstermez

Bu özelliklerden sapma görüldüğünde diş eti dokusunun değerlendirilmesi gerekir.

Diş Eti Kanamasının En Yaygın Nedenleri

Diş eti kanaması genellikle tek bir nedene bağlı değildir. Çoğu zaman birden fazla faktör birlikte rol oynar.

1. Diş Plağı Birikimi

Diş eti kanamasının en yaygın nedenlerinden biri diş plağıdır. Plak, diş yüzeyinde biriken bakteri tabakasıdır. Düzenli olarak temizlenmediğinde diş eti kenarında birikir.

Plak birikiminin etkileri:

  • Diş eti dokusunda inflamasyon

  • Şişlik ve kızarıklık

  • Fırçalama sırasında kanama

Plak varlığı, diş etlerinin savunma mekanizmasını zorlayarak kanamaya neden olabilir.

2. Gingivitis (Diş Eti İltihabı)

Gingivitis, diş eti iltihabının erken evresi olarak tanımlanır ve diş eti kanamasının en sık görülen klinik nedenlerinden biridir.

Gingivitis belirtileri:

  • Kızarık diş etleri

  • Şişlik

  • Fırçalama sırasında kanama

  • Hassasiyet

Bu durum genellikle geri dönüşümlüdür ve erken fark edilmesi önemlidir.

3. Yanlış Fırçalama Teknikleri

Aşırı sert fırçalama veya yanlış fırçalama açısı, diş eti dokusunda travmaya yol açabilir.

Yanlış fırçalama alışkanlıkları:

  • Sert kıllı diş fırçası kullanımı

  • Aşırı basınç uygulamak

  • Diş etine doğru değil, yatay hareketlerle fırçalamak

Bu durumlar diş eti dokusunun zarar görmesine ve kanamaya neden olabilir.

4. Diş İpi Kullanımına Yeni Başlanması

Diş ipi kullanımı ağız hijyeni için önemlidir. Ancak diş ipi kullanımına yeni başlayan bireylerde, özellikle plak birikimi varsa, geçici diş eti kanamaları görülebilir.

Bu durum:

  • Diş etlerinin hassas olmasından

  • Plak varlığından

kaynaklanabilir ve çoğu zaman düzenli kullanım ile azalabilir.

5. Diş Taşı Oluşumu

Diş taşı, sertleşmiş plak tabakasıdır ve diş eti kenarında birikerek diş eti dokusunu sürekli olarak tahriş edebilir.

Diş taşının etkileri:

  • Diş eti çekilmesi

  • Kanama

  • Diş eti dokusunda sertlik ve düzensizlik

Diş taşı varlığında diş eti kanaması daha sık görülebilir.

6. Hormonal Değişimler

Hormonal dalgalanmalar diş eti dokusunun hassasiyetini artırabilir. Özellikle:

  • Ergenlik dönemi

  • Hamilelik

  • Menstrüel dönemler

  • Menopoz

gibi süreçlerde diş etleri plak varlığına karşı daha hassas hâle gelebilir ve kanama eğilimi artabilir.

7. Ağız Kuruluğu

Tükürük, ağız içinin doğal savunma mekanizmalarından biridir. Ağız kuruluğu durumunda:

  • Plak birikimi hızlanabilir

  • Bakteri yükü artabilir

  • Diş eti dokuları daha hassas hâle gelebilir

Bu durum diş eti kanamasına zemin hazırlayabilir.

8. Beslenme Alışkanlıkları

Yetersiz ve dengesiz beslenme, diş eti sağlığını dolaylı olarak etkileyebilir. Özellikle:

  • Vitamin ve mineral eksiklikleri

  • Aşırı şekerli gıdaların tüketimi

diş eti dokularının direncini azaltabilir.

9. Stres

Stres, bağışıklık sisteminin dengesini etkileyebilir. Uzun süreli stres durumlarında diş eti dokularının enfeksiyonlara karşı direnci azalabilir ve kanama eğilimi artabilir.

10. Sigara ve Tütün Ürünleri

Sigara kullanımı diş eti sağlığını olumsuz etkileyen faktörlerden biridir. Sigara, bazı bireylerde kanamayı maskeleyebilirken, uzun vadede diş eti dokusunun sağlığını bozabilir.

Diş Eti Kanamasının Günlük Yaşamdaki Belirtileri

Diş eti kanaması çoğu zaman şu durumlarda fark edilir:

  • Diş fırçalarken

  • Diş ipi kullanırken

  • Sert gıdalar çiğnerken

  • Bazen kendiliğinden

Kanamaya eşlik eden diğer belirtiler arasında şişlik, kızarıklık ve hassasiyet yer alabilir.

Çocuklarda Diş Eti Kanaması

Çocuklarda diş eti kanaması genellikle:

  • Yetersiz ağız bakımı

  • Diş çıkarma dönemleri

  • Plak birikimi

ile ilişkilidir. Çocuklara erken yaşta doğru ağız bakım alışkanlıklarının kazandırılması önemlidir.

Diş Eti Kanamasının İhmal Edilmemesi Neden Önemlidir?

Diş eti kanaması çoğu zaman ağrısız olabilir. Bu nedenle bazı bireyler tarafından önemsenmeyebilir. Ancak kanama, diş eti dokusunda bir sorun olduğunun işareti olabilir.

İhmal edildiğinde:

  • Diş eti iltihabı ilerleyebilir

  • Diş eti çekilmesi görülebilir

  • Ağız sağlığı genel olarak olumsuz etkilenebilir

Bu nedenle kanamanın tekrarlayıcı olması durumunda farkındalık önemlidir.

Günlük Alışkanlıkların Diş Eti Kanaması Üzerindeki Etkisi

Günlük yaşamda yapılan bazı alışkanlıklar diş eti kanamasını artırabilir:

  • Düzensiz fırçalama

  • Diş ipi kullanımının ihmal edilmesi

  • Sert fırçalama

  • Düzensiz beslenme

Bu alışkanlıkların düzenlenmesi diş eti sağlığını olumlu yönde etkileyebilir.

Diş Eti Kanamasını Önlemeye Yönelik Günlük Yaklaşımlar

Diş eti kanamasının önlenmesinde bilinçli günlük bakım önemlidir.

1. Nazik ve Düzenli Fırçalama

Yumuşak kıllı diş fırçası ile diş eti–diş birleşim hattının nazikçe temizlenmesi önerilir.

2. Diş Arası Temizliği

Diş ipi veya uygun arayüz temizleme araçları ile diş aralarının temizlenmesi plak birikimini azaltabilir.

3. Ağız Hijyeninin Sürekliliği

Ağız bakımının günlük bir rutin hâline getirilmesi önemlidir.

4. Dengeli Beslenme

Diş eti dokusunun sağlığı, genel beslenme düzeniyle yakından ilişkilidir.

Diş Eti Sağlığının Genel Sağlıkla İlişkisi

Diş eti sağlığı, yalnızca ağız içiyle sınırlı değildir. Diş eti dokularının sağlıklı olması, genel sağlığın korunmasında da önemli bir yer tutar. Bu nedenle diş eti kanaması, bütüncül bir sağlık bakış açısıyla değerlendirilmelidir.

Diş eti kanaması, çoğu zaman diş eti dokusunun verdiği erken bir uyarı olarak değerlendirilmelidir. Plak birikimi, yanlış ağız bakım alışkanlıkları, hormonal değişimler, stres ve ağız kuruluğu gibi birçok faktör diş eti kanamasına yol açabilir. Kanamanın fark edilmesi ve ağız bakım alışkanlıklarının gözden geçirilmesi, diş eti sağlığının korunmasına katkı sağlar.

Diş eti kanamasının önemsenmesi, ağız ve diş sağlığına yönelik bilinçli bir yaklaşımın parçasıdır.

Leave a comment

Explore
Drag